孩子换牙,长出的牙齿很丑、不整齐怎么办?
来源:未知 作者:管理员 发布时间:2016-02-24 次浏览
一:孩子的换牙时间?
孩子踏入换牙期的时候,恒牙萌长导致乳牙牙根吸收、松动,并有序脱落,恒牙在空位上逐渐萌出。换牙期大约在6岁开始,到12~13岁结束。
换牙顺序一般如下:
二:悄悄露面,没有"替补队员"的"六龄牙"是哪一颗?
孩子到了六岁左右,上下左右最后一颗乳磨牙的后面会静静长出第一恒磨牙,又称"六龄牙"。很多家长不知道它的存在,甚至以为它也是会替换的,所以疏于护理,导致好多小朋友的六龄牙早早开始龋坏。家长们一定要注意!六龄牙只长一次,这颗牙萌出之后一定要注意清洁,并及时进行窝沟封闭。
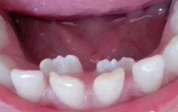
三:孩子新长出的门牙为什么是锯齿状?
新换的门牙刚萌出时呈锯齿状。"锯齿"是牙齿的发育结节,会随着进食咀嚼逐渐磨平,这个不是异常情况,无需处理。
四:上门牙长出后呈外"八"字,是否需要戴牙套?
由于侧边两个还没有萌出的牙齿的牙胚挤压大门牙的牙根,刚长出的门牙会呈现外"八"字,这种"丑小鸭"阶段只是过渡期,随着侧边牙齿的萌出,暂时的"异常"就会自然消失。
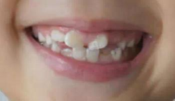
五:孩子下排的新牙已经长了,旧牙还没掉,呈"双排牙",怎么办?
孩子的饮食特点是食物过于精细,经常导致新牙从里面长出的时候乳牙还没有自行脱落。一般而言,如果新牙萌出很多,而乳牙仍然不松动,建议拔除乳牙,新牙会自行调整到正常位置。
六:新换的牙怎么那么黄呢?是不是没发育好?
新长的恒牙比乳牙黄是正常现象,这是由于恒牙钙化的程度比乳牙高,也就是说,恒牙最外层的牙釉质透明度比乳牙好,所以就容易透出内层呈黄色的牙本质。但如果牙齿变色严重,请及时就诊,请牙医鉴别。
孩子的换牙期,也叫"丑小鸭"阶段。一些生理性的不整齐会自行调整,待全部替换完成后,孩子就会华丽地转身变为"白天鹅"了。但也有一些牙齿的情况属于异常,需要及时干预,所以建议您定期带孩子去看牙医,有问题早发现、早处理。
